おしむら歯科・こども矯正歯科クリニック|小児矯正特設サイト

Myobrace認定クリニック|矯正治療実績3,500件以上

院長のゆき先生 院長:ゆき先生

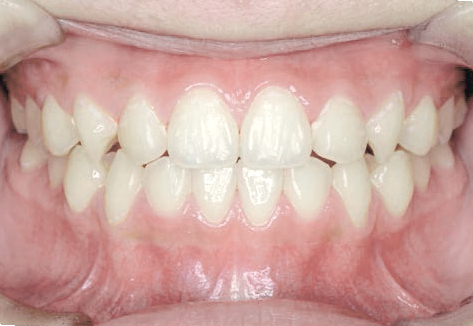
非抜歯で痛くない

小児矯正

他院で「抜歯が必要」と言われた方もご相談ください! 他院で「抜歯が必要」と言われた方も
ご相談ください!

  • 歯を
    抜かない

  • 痛く
    なりにくい

  • 楽しく
    続けられる

お子さまの口育、
こんなお悩み
ございませんか?

  • こどもの歯並びが気になる
  • 矯正を検討しているけれど、
    継続できるか不安。嫌がるかも…
  • 矯正したいけど
    ワイヤー装置が気になる
  • 他院で抜歯が必要と言われた
  • 他院で矯正は待ちましょう
    と言われた
  • いびき・口呼吸が気になる
  • 指しゃぶりがなかなか治らない

こんなお悩みを
お持ちの方…
こんなお悩み

おしむら歯科にご相談ください! おしむら歯科にご相談ください!

おしむら歯科の小児矯正は…

歯を抜かない

「矯正治療=抜歯」というイメージがあるかもしれませんが、当院では基本的に非抜歯で矯正治療が可能です!

痛くなりにくい

非抜歯かつ、ワイヤーではなくマウスピース型の器具を使用するため、強い痛みを感じづらい矯正治療です。

楽しく続けられる

痛みが少なく続けやすいのに加え、お子さまが楽しく通院できるよう様々な仕掛けをご用意しています!

他院で「ワイヤーでの治療しかできない」「抜歯治療しかできない」と言われた方もぜひご相談ください。

まずは無料相談へお越しください!

有料級!内容大充実 子ども矯正個別無料相談 有料級!内容大充実 子ども矯正個別無料相談

当院では必ず院長または副院長が
無料相談をお受けします。

無料相談会で分かること

  • お子さまの歯並びが悪化している原因
  • おしむら歯科の矯正の特徴
  • 矯正治療の流れ・治療期間
  • 矯正治療にかかる費用

有料級の検査・診断・ご提案(※当院比)

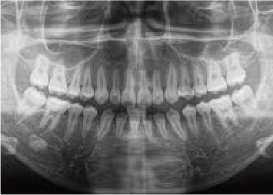
  • CTでお口の状態を細かくチェック
  • 3Dスキャンでお口の正確なデータを取得
  • お子さまに近い症例に基づいた治療例の解説
  • お子さまに合わせた治療計画のご提案

当院では必ず院長または副院長が
無料相談をお受けします。

おしむら歯科の小児矯正3つの特徴

01

歯だけではなく、
全身の骨格から治療!

舌・口腔周囲筋の発達不全、呼吸機能の低下・発達不全が原因で、歯並びの悪さを始め姿勢・呼吸に様々な問題を起こします。それぞれの問題同士も相互に影響し合います。

顕在化している問題が一見バラバラであっても、実は根本原因が近く、相互的に影響し合っているケースも多いのです。
例えば、姿勢や呼吸が改善されると歯並びの改善にもつながりやすいのですが、逆も同じです。

当院の小児矯正は、歯並びが悪くなる原因を治療やトレーニングによって改善していきます。

  • 口呼吸
  • 舌の悪い癖
  • 姿勢の乱れ
  • 飲み込みの悪い癖

主にこの4つの要素にアプローチすることで、顎の正常な発育を促し、きれいな歯並びを目指します。

矯正治療によって全身のバランスが整うと、以下のようなメリットが見込めます。

  • 姿勢の改善
  • 運動能力発達のサポート
  • 睡眠時無呼吸症候群の予防

歯並びだけでなく、全身に良い影響が期待できるのです。

舌・口腔周囲筋の発達不全、呼吸機能の低下・発達不全が原因で、歯並びの悪さを始め姿勢・呼吸に様々な問題を起こします。それぞれの問題同士も相互に影響し合います。

顕在化している問題が一見バラバラであっても、実は根本原因が近く、相互的に影響し合っているケースも多いのです。
例えば、姿勢や呼吸が改善されると歯並びの改善にもつながりやすいのですが、逆も同じです。

02

小児矯正3,500件以上!
安心の実績数

2015年からは毎年100件以上の実績を積み上げ、2022年からは特に実績数を伸ばしています。|2022年:180件、2023年:280件、2024年:400件

当院でのこども矯正の症例実績は、3,500件以上。(対象期間:2013年3月から2025年4月)いまも毎月数百人のお子さまの歯並びを治療しており、そのほとんどを、非抜歯・ワイヤーなしで行っています。様々な歯列を持つお子さまを治療してきたノウハウがあるため、安易な抜歯をせず、成長に合わせた無理のない矯正治療が実現できます。

また、専門医との連携により、歯並びだけでなく口の機能に対して総合的にサポートします。

※難症例の場合、ワイヤーが一定期間必要となる場合もございますが、多くの場合は数ヶ月でワイヤーを外すことができます。ご安心ください。

2015年からは毎年100件以上の実績を積み上げ、2022年からは特に実績数を伸ばしています。|2022年:180件、2023年:280件、2024年:400件
03

オーダーメイドで行う
小児矯正

お子さま一人ひとりに合わせてトレーニングや治療を最適化

当院では、成長期の子ども特有の骨や歯の柔軟性を最大限に活かし、効率的かつ効果的な矯正を目指しています。

「小児矯正」とひとことに言っても、お子さまによって歯の成長や歯並びは千差万別。治療前にしっかりと検診し、お口の状態や特徴に合った治療計画をご提案します。

また、各お子さまに合わせたオーダーメイド装置を院内で作製できる設備を整えています。成長に合わせた装置のアップデートにもスピーディに対応でき、スムーズな治療が実現できます。

お子さま一人ひとりに合わせてトレーニングや治療を最適化

治療方法

「マイオブレイス矯正」と「バイオブロック矯正」をベースに、
当院の豊富な症例から得たノウハウを組み合わせ、独自の矯正治療を行っています。
また、精密検査や装置製作のための設備を充実させ、精度の高い治療を目指します。

Myobrace®️(マイオブレイス)矯正
バイオブロック矯正

Myobraceマイオブレイス矯正とは

マイオブレイスの矯正器具

5歳から始められる、
マウスピースの小児矯正

マイオブレイス矯正とは、小児期に口腔内の筋肉をトレーニングすることで矯正を行う方法です。

口呼吸、舌癖、悪い飲み込み癖、姿勢など歯並び悪化の原因になる悪い癖を、1日数分のトレーニングででケアします。これによって、歯並びだけではなく、全身の骨格の正しい成長を促すことができます。
5〜15歳頃の小児期に骨格の成長の仕方を整えることで、将来の健康状態にもいい影響が見込めます。

主なメリット 主なメリット

ワイヤーをつけないので
目立たない

マウスピースなので
取り外し可能

睡眠時と1日数時間の装着
なので痛みが少ない

永久歯を抜く可能性が少ない

ブラケット矯正とマイオブレイス矯正の比較表|ブラケット矯正は歯並びを直接的にワイヤーを使用して治療するのに対し、マイオブレイスは歯並びを悪くする原因そのものにアプローチする治療をしていきます。

ブラケット矯正とMyobrace矯正を比べてみよう!

ブラケット矯正とマイオブレイス矯正の比較表|ブラケット矯正は歯並びを直接的にワイヤーを使用して治療するのに対し、マイオブレイスは歯並びを悪くする原因そのものにアプローチする治療をしていきます。

スワイプで表がスクロールします

詳しく見る

バイオブロック矯正とは

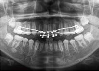
下方成長の症例のbefore/after

発達に寄り添いながら、
正しい成長を促す

バイオブロック矯正は、歯だけではなく顔全体の発達に焦点を当てた矯正治療法です。顎の下方成長(顎が下へ下がるように発達すること)を防ぐことに重点を置き、正しい方向への成長を促します。顎が正しく発達することで、永久歯が生える前に、生えやすい場所に移動するため、治療期間の短縮につながります。

取り外し可能な器具を使用して顎や歯の位置を正しい向きに調整し、より自然な方法で歯並びを整えることを目指します。

主要な治療内容と効果:顎の成長のコントロール

バイオブロック矯正では、顎の成長を前方へ導き、下顎の後退を防ぎます。
歯並びだけを整えるのではなく、すべての歯が自然な位置で並ぶことができる顎を目指します。

これは、成長過程だからこそできる治療法です。歯並びが崩れにくい顎をつくることで、問題の根本解決につながる上に後戻りしにくく、矯正後のケアも少なく済みます。

顎が正しく成長することで、
舌の状態や呼吸の仕方の
改善にもつながります!

副次的な治療効果

舌の位置の矯正

バイオブロック装置は、舌が正しい位置に収まるように誘導し、上顎の横方向の成長を促します。これにより、顔が下に成長するのではなく、前方+横方向に広がるように導きます。

口呼吸の改善

バイオブロック装置は口呼吸を抑制し、鼻呼吸を促すように設計されています。これにより、口周りの筋肉が正しく機能し、顎の位置や顔の形状が自然に整うことが期待されます。

自分だけのオーダーメイド矯正装置ができるまで

当院では、専属の技工士と密に連携し、オーダーメイド装置をスピーディーにご提供します!

01 最新の光学スキャナーで口腔内を3D撮影し、正確なデータを取得

02 おしむら歯科専属の歯科技工士が装置を設計

03 3Dプリンタで細部まで精密に再現したカスタム装置を作成

ここがポイント! ここがポイント!

当院では、以下の3つのポイントを重視しているため、装置の設計から作製まで、すべて院内で行なっています。

  • 装置のフィット感を高め、
    お口への負担を少なくすること
  • 成長や経過に合わせ、
    的確なタイミングでスムーズに
    装置をアップデートすること
  • 治療の精度を最大限まで高め、
    なるべく短い期間で治療すること

器具の作製を外部委託すると、時間がかかる上、細部の再現性に乏しい場合があります。
その結果、装置に違和感が出たり、治療期間が長くなってしまうというデメリットも。
当院では、一人ひとりに最適な治療を追求するために、装置作製の内製化にこだわっています。

詳しく見る
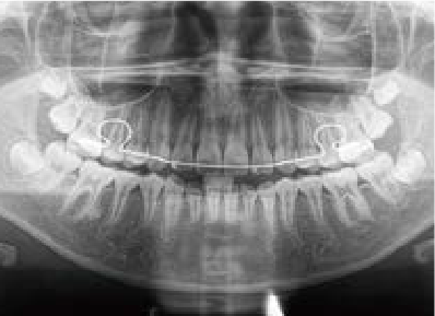
非抜歯・ワイヤーなしで難症例の治療実績も多数ございます。
ぜひ症例をご覧ください! 院長のゆき先生

症例紹介

  • すべて
  • でこぼこ
  • 出っ歯
  • 口が閉じない
  • 受け口
すべて
でこぼこ

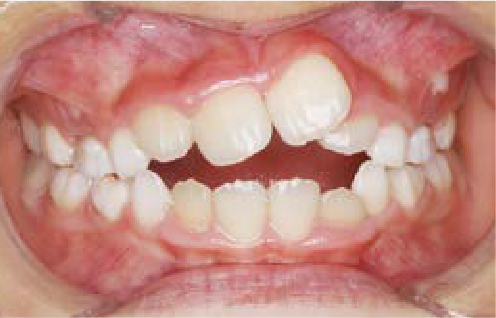
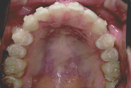
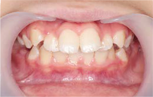
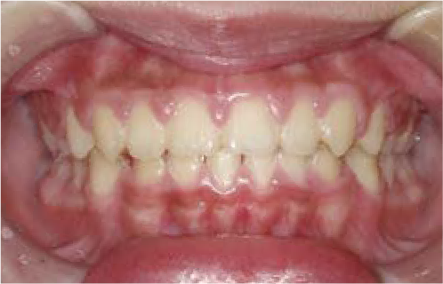
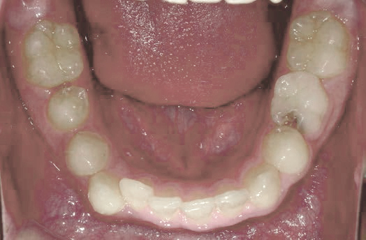
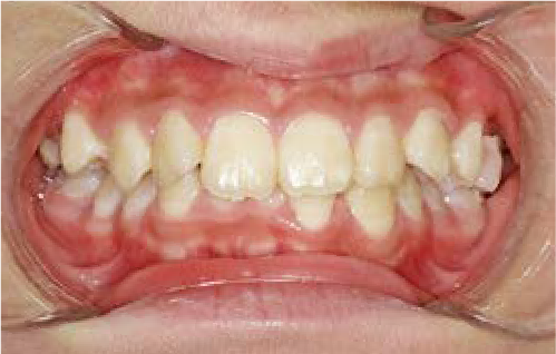
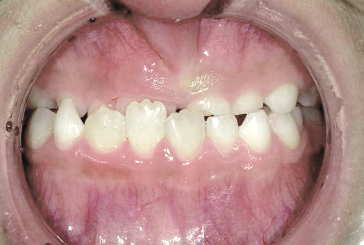
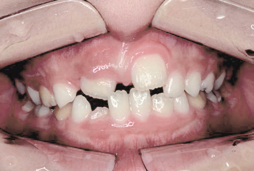
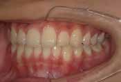
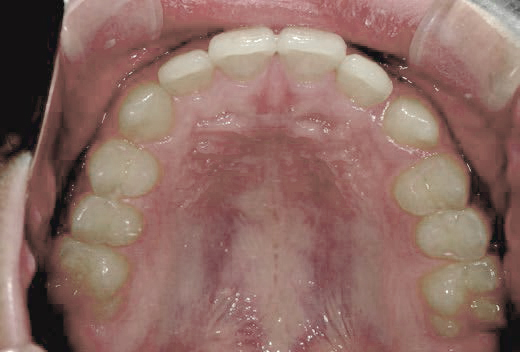
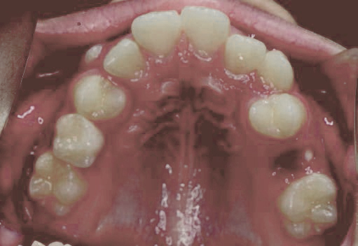
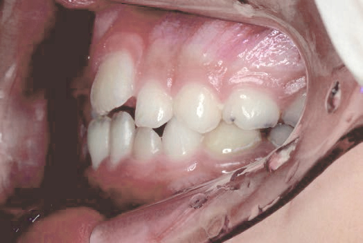
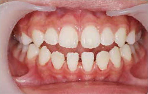
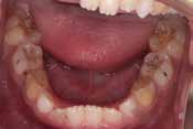
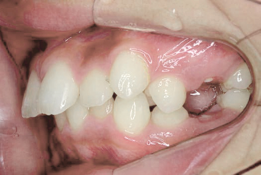
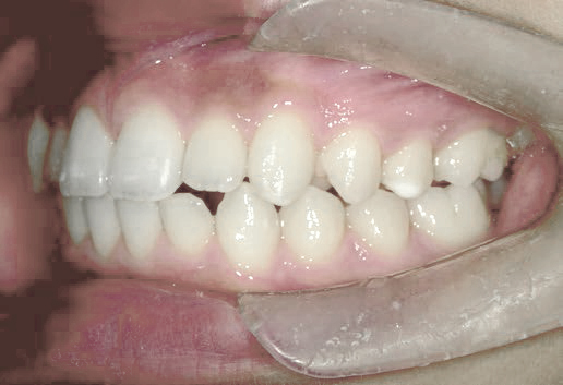
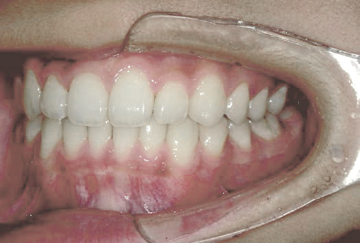
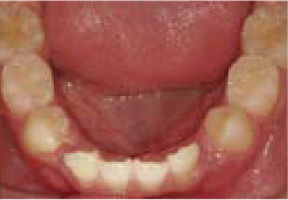
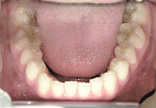
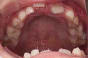
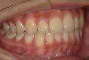
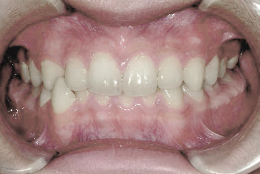
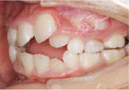
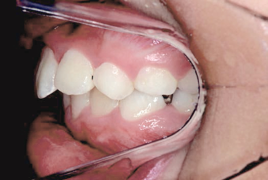
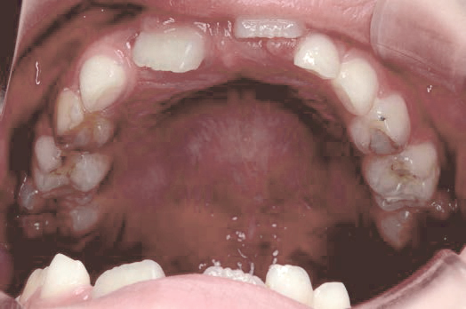
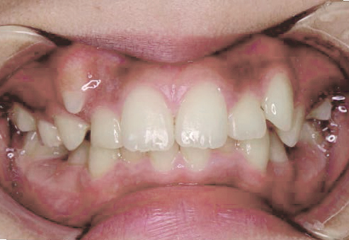
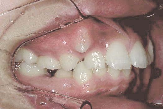
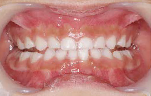
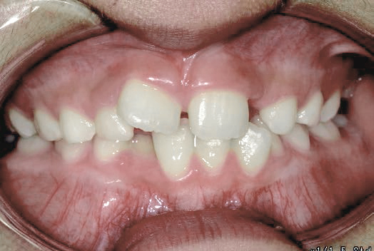
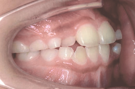
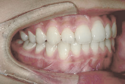
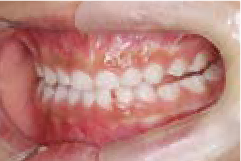
ガタガタな歯並びに悩むも…抜かずに治す選択

Kさん (矯正開始時:8歳)

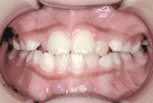
Before
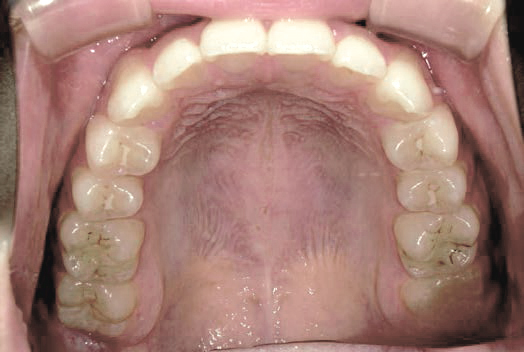
After
前歯のすき間や歯並びの乱れが見られ、普段の生活の中で、無意識に舌を押しつけるクセや飲み込み方のクセが確認されました。

治療を終えて

装置をしっかり使うことで、あごの位置が整い、舌の正しい位置や動きが戻り、ほっぺたやくちびるの筋肉の使い方も改善されました。その結果、歯並びが整いお口の機能も良くなりました。もちろん非抜歯での治療です。
主訴・治療内容 他院で抜歯のうえ、ブラケット矯正を勧められたが、できれば歯を抜かずに治療したいとの要望で来院されました。
治療期間 5年4ヶ月
費用 495,000円(税込)
リスク・副作用
  • 治療の初期段階では、痛みや不快感が生じやすくなりますが、一週間前後で慣れます。
  • 歯の動き方には個人差があるため、予想された治療期間より延長する場合があります。
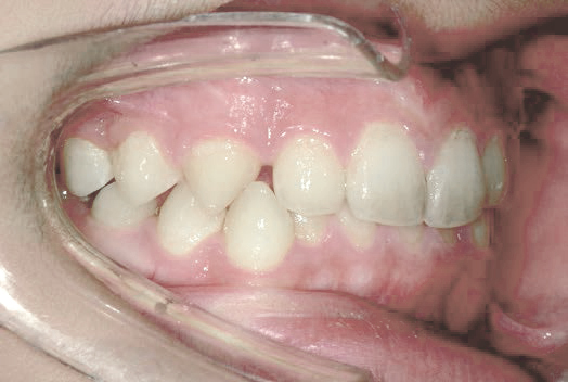
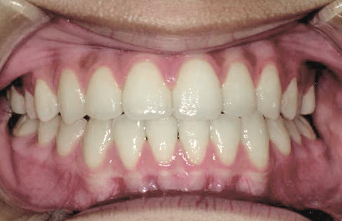
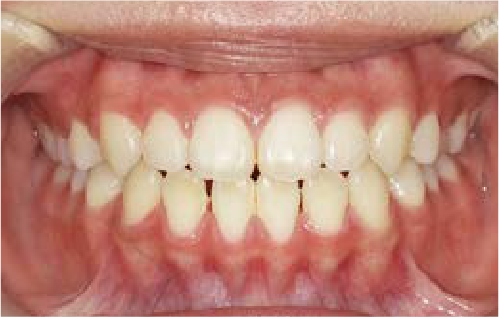
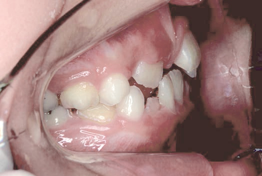
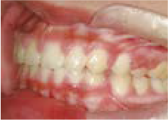
受け口

下の歯が前に出る“受け口”の治療

Yさん (矯正開始時:7歳)

Before
After
下あごが前に出ていて、上あごの成長が少ない状態でした。他の歯科では将来あごの手術が必要と言われましたが、手術をせずに治したいという思いで、口コミを見て当院に来られました。

治療を終えて

装置を使うことで奥歯の高さが上がり、かみ合わせ全体が整うことで、前歯のズレも改善されました。さらに舌が正しい位置にくるよう舌を持ち上げるトレーニングを行いました。外科的手術はせず、非抜歯で治療完了しました。
主訴・治療内容 他院で将来あごの手術が必要と言われたが、できれば手術をせず治したいという思いで、口コミを見て当院へ相談に来られました。
治療期間 5年
費用 495,000円(税込)
リスク・副作用
  • 治療の初期段階では、痛みや不快感が生じやすくなりますが、一週間前後で慣れます。
  • 歯の動き方には個人差があるため、予想された治療期間より延長する場合があります。
でこぼこ

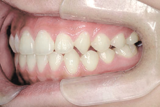
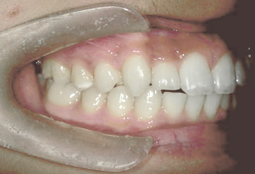
現役歯科医師の愛娘さんの治療

Nさん (矯正開始時:8歳)

Before
After
上あごの成長が少なく、特に前歯のガタガタが目立っていました。口呼吸のクセや飲み込み方に良くないクセが確認されました。

治療を終えて

マイオブレイスとBB1装置で上あごの成長を助け、鼻呼吸や正しい飲み込み方を身につけることで、きれいな歯並びとしっかり噛めるお口に変わっていきました。
姿勢やお口の機能を正しく整えたので、後戻りしない綺麗な歯並びを維持できています。もちろん非抜歯です。
主訴・治療内容 当院と交流のある歯科医師の先生が、ご自身のお子さまの治療を任せてくださいました。
「難しい歯並びでも永久歯を抜かず、全身の健康と顔立ちも考えて治療してくれる」と信頼していただいて治療開始。
治療期間 3年
費用 462,000円(税込)
リスク・副作用
  • 治療の初期段階では、痛みや不快感が生じやすくなりますが、一週間前後で慣れます。
  • 歯の動き方には個人差があるため、予想された治療期間より延長する場合があります。
出っ歯

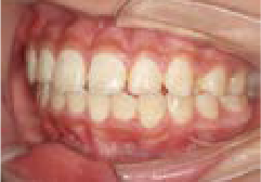
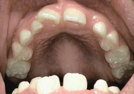
八重歯になっちゃった…歯が入る隙間がないけど、永久歯は抜きたくない!

Aさん (矯正開始時:9歳)

Before
After
すっきりしたお顔立ちの女の子ですが、外側から八重歯が生えてきてしまいました。

治療を終えて

マイオブレイスとBWS装置を使い、あごの骨や歯並びの形を整えながら、鼻呼吸や正しい飲み込み方も身に付けることができました。
お口の悪いクセは改善され、お子さん自身の力でしっかりとしたかみ合わせができるようになりました。ご希望通り永久歯を抜く必要はありませんでした。
主訴・治療内容 他院で「永久歯を抜いて矯正」をすすめられたが抜歯に抵抗があり「永久歯を抜かずに、あごの骨から整えてくれる」と口コミを見て当院を選んでくださいました。

治療期間 2年
費用 495,000円(税込)
リスク・副作用
  • 治療の初期段階では、痛みや不快感が生じやすくなりますが、一週間前後で慣れます。
  • 歯の動き方には個人差があるため、予想された治療期間より延長する場合があります。
でこぼこ

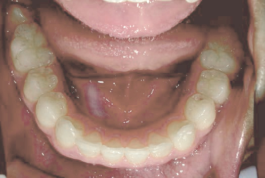
でこぼこでも大丈夫。抜かずに、あごから育てる矯正治療

Jさん (矯正開始時:8歳)

Before
After
歯がガタガタに並んでいて、前歯の真ん中の位置が少し左にずれていました。
奥歯が生えるためのスペースが足りず、永久歯が生えて来られない状況が確認できました。
また、飲み込むとき下くちびるに力が入ってしまうクセが見られ、お顔全体の成長が遅れている様子が確認できました。

治療を終えて

歯がきれいに生えるためのスペースをしっかり確保することができ、歯並びを乱していたお口のクセも改善されたため、奥歯が生えるスペースを確保することができました。
しっかり噛めるかみ合わせを作ることが、将来の健康につながるので「よく噛む」練習も続けてもらっています。
主訴・治療内容 歯がガタガタになってきたことに悩み、無料相談に来院されました。
治療期間 3年
費用 462,000円(税込)
リスク・副作用
  • 治療の初期段階では、痛みや不快感が生じやすくなりますが、一週間前後で慣れます。
  • 歯の動き方には個人差があるため、予想された治療期間より延長する場合があります。
でこぼこ

部活を続けながら治療できますか? 見た目も機能も優しい矯正治療

Hさん (矯正開始時:12歳)

Before
After
上くちびるの動きの異常が確認できました。

治療を終えて

治療によってあごの成長が整い、永久歯への生えかわりも順調に進んで歯並びも綺麗になりました。
部活だけでなく、お口のトレーニングにも熱心に取り組んでくれたおかげで、上くちびるの動きも改善されました。
主訴・治療内容 バレーボールに打ち込む女の子が、歯並びは治したいけどワイヤーは怪我が心配でつけたくない。安心して部活もできる治療をしたいと相談に来られました。
治療期間 2年半
費用 462,000円(税込)
リスク・副作用
  • 治療の初期段階では、痛みや不快感が生じやすくなりますが、一週間前後で慣れます。
  • 歯の動き方には個人差があるため、予想された治療期間より延長する場合があります。
出っ歯

「本当に永久歯を抜かずに治るの?」半信半疑で相談に来られました

Mさん (矯正開始時:8歳)

Before
After
これから生えてくる永久歯のスペースがなく、歯が並ぶ余地がほとんどありませんでした。
さらに、上からあごの骨を見たところ、中央がくびれた“ひょうたん型”に変形しており、あごの成長にも偏りが見られました。
診断の結果、前歯の中心も少し左にずれており、特に犬歯が生えるスペースが足りない状態でした。
飲み込むときに下くちびるに力が入り、顔の左側にゆがみが出ている様子も確認できました。

治療を終えて

犬歯が歯ぐきの中に埋まっていたため、透明のマウスピース型装置で生えるスペースを作り正しい位置に導きました。もちろん抜歯せずに歯並びを整えることができました。お口の中がとても小さく、型どりの際にオエッとなる反応が強く、当時は装置を作るのが大変でした。しかし現在では3Dスキャナーと3Dプリンターを活用しスムーズに治療できます。
主訴・治療内容 「あごが小さいから、歯がきれいに並ばない」と他院で言われ永久歯を抜く矯正をすすめられていました。
本当に非抜歯で治療できるのか心配されていましたが、治療方法を丁寧にご説明し、お任せいただきました。
治療期間 5年
費用 550,000円(税込)
リスク・副作用
  • 治療の初期段階では、痛みや不快感が生じやすくなりますが、一週間前後で慣れます。
  • 歯の動き方には個人差があるため、予想された治療期間より延長する場合があります。
出っ歯

いびき、鼻詰まり、風邪をひきやすい。これも歯並びと関係が?

Yくん (矯正開始時:7歳)

Before
After
慢性的な鼻づまりによる口呼吸に加え、風邪をひきやすい、のどや気管が弱いため、耳鼻科へたびたび通っているとのことでした。
また長時間睡眠を取っても、疲れている、だるいといった症状が確認されました。

治療を終えて

装置とお口のトレーニングによって上あごを広げ、下の歯を正しい位置に整えました。歯がしっかりと咬み合うようになり、舌の位置や鼻の通りもよくなりました。歯並びだけでなく、気道も広がることで口呼吸が改善されました。
主訴・治療内容 出っ歯と前歯の隙間が気になると相談に来られました。
治療期間 2年
費用 462,000円(税込)
リスク・副作用
  • 治療の初期段階では、痛みや不快感が生じやすくなりますが、一週間前後で慣れます。
  • 歯の動き方には個人差があるため、予想された治療期間より延長する場合があります。
出っ歯

あごや骨格を正しく成長させる矯正治療

Aさん (矯正開始時:8歳)

Before
After
鼻がつまりやすく、口呼吸をしているために上あごが狭い状態でした。また上の前歯がかなり前へ傾いているため、お口をきちんと閉じていることができません。さらに、下の前歯もでこぼこしていました。

治療を終えて

装置によって上あごを拡大し、下あごを少し前へ成長させたことで、永久歯がきれいに並ぶスペースを確保しました。また、お口の機能が向上したことから鼻がよく通るようになり、口呼吸も改善され口も閉じやすくなったので顔の表情もよくなりました。
主訴・治療内容 下あごが後ろに下がり、出っ歯のようになっていることを心配して、無料相談に来院されました。
治療期間 2年半
費用 462,000円(税込)
リスク・副作用
  • 治療の初期段階では、痛みや不快感が生じやすくなりますが、一週間前後で慣れます。
  • 歯の動き方には個人差があるため、予想された治療期間より延長する場合があります。
口が閉じない

指しゃぶりのクセがあり、お口を閉じることができません

Aさん (矯正開始時:7歳)

Before
After
舌の位置が低く、上あごの天井が高くて狭い状態でした。鼻がつまりやすく、口をポカンと開けながら呼吸をしていることが確認されました。

治療を終えて

現在まだ治療継続中ですが、装置によって上あごを広げ、下の歯の位置を整える治療中です。お口のトレーニングにより鼻通りがよくなり、鼻呼吸が改善され舌の位置も正しくなりました。指しゃぶりのクセもなくなりました。
主訴・治療内容 指しゃぶりのクセがあり前歯が傾いていることから、お口を閉じることができないというお悩みで来院されました。
治療期間 1年
費用 495,000円(税込)
リスク・副作用
  • 治療の初期段階では、痛みや不快感が生じやすくなりますが、一週間前後で慣れます。
  • 歯の動き方には個人差があるため、予想された治療期間より延長する場合があります。
口が閉じない

「前歯でものが噛み切れません」舌の位置が原因でした。

Mさん (矯正開始時:8歳)

Before
After
舌が常に前に出るクセがあり、鼻づまり、扁桃腺がよく腫れる、いびきをかくといった口呼吸の症状が顕著にみられました。

治療を終えて

装置によって上あごを広げ、上下の前歯がしっかりと咬み合い舌の位置も正しくなりました。アデノイドが小さくなり気道が広がったことで、鼻呼吸ができるようになりました。
主訴・治療内容 前歯でものが噛み切れないというお悩みで無料相談に来院されました。
治療期間 3年
費用 495,000円(税込)
リスク・副作用
  • 治療の初期段階では、痛みや不快感が生じやすくなりますが、一週間前後で慣れます。
  • 歯の動き方には個人差があるため、予想された治療期間より延長する場合があります。
口が閉じない

姿勢や、お口のトレーニングにより骨格改善

Kさん (矯正開始時:5歳)

Before
After
舌の位置が低い他に、いつも口を開けている、猫背、あごを前に出してテレビを見ている、頰づえをよくつくといった、口呼吸の典型的な症状がありました。

治療を終えて

装置によって上あごを広げ、上の前歯を後ろから押し出しました。上あごの拡大後は舌の位置が上がり、舌と上あごのすき間がなくなりました。
姿勢や鼻づまりも改善、しっかり咬めるお口で、きれいな歯並びになりました。
主訴・治療内容 下の前歯が前に出ていて、上の前歯が隠れてしまっていることの相談がありました。
治療期間 2年
費用 418,000円(税込)
リスク・副作用
  • 治療の初期段階では、痛みや不快感が生じやすくなりますが、一週間前後で慣れます。
  • 歯の動き方には個人差があるため、予想された治療期間より延長する場合があります。
出っ歯

舌の位置と噛み合わせからの、鼻詰まりや、いびきとの関係

Yさん (矯正開始時:10歳)

Before
After
舌の位置が低く、いつも鼻がつまっていて、いぎきをかくといった口呼吸の症状がありました。気道は狭くはありませんが、空気の通りが悪いという印象でした。
上あごがやや狭く、下あごが後ろに下がり、咬み合わせが深くなっていました。

治療を終えて

装置によって上あごを広げてから、下あごの成長をうながし、下あごを前に出す治療を行いました。前歯のアーチが整い、うまく咬み合うようになったので、いびきをかかなくなり、口呼吸が改善されました。
主訴・治療内容 歯並びだけではなく、鼻詰まりや、いびきにも悩んでおられ、当院の矯正治療で改善されたと評判を聞いて、無料相談に来院されました。
治療期間 2年
費用 495,000円(税込)
リスク・副作用
  • 治療の初期段階では、痛みや不快感が生じやすくなりますが、一週間前後で慣れます。
  • 歯の動き方には個人差があるため、予想された治療期間より延長する場合があります。
出っ歯

他院で「抜歯して5年かかる」と言われましたが、非抜歯、1年で治りました

Sさん (矯正開始時:12歳)

Before
After
下の奥歯が内側に傾いて、舌の位置が悪く、鼻がつまって口呼吸の状態でした。扁桃腺がよく腫れ、風邪をひきやすく、いびきもあるようでした。

治療を終えて

装置で上あごを拡大し、下の歯の位置を整え、前歯の並びを整えました。お口のトレーニングの効果で鼻詰まりと、いびきも改善。たった1年でこの変化が見られました。もちろん歯は1本も抜いていません。
主訴・治療内容 他院にて「抜歯した上で、ワイヤーを付け、5年かけて治療する」と言われ、他の方法はないのかとネットで調べたところ、当院を知り無料相談に来院されました。
治療期間 1年
費用 462,000円(税込)
リスク・副作用
  • 治療の初期段階では、痛みや不快感が生じやすくなりますが、一週間前後で慣れます。
  • 歯の動き方には個人差があるため、予想された治療期間より延長する場合があります。
でこぼこ

口呼吸から鼻呼吸、食べ方や飲み込み方で歯並びは良くなる!

Nさん (矯正開始時:8歳)

Before
After
上の前歯がゆがみ下の歯が内側に傾いています。舌の位置が悪く、口を開けたまま食べ物を飲み込む癖がありました。また、口をポカンと開けてテレビを見ていることが多いなど、鼻づまりによる口呼吸特有の症状が見られました。

治療を終えて

装置によって上あごを広げ前歯をきれいに並べました。下の歯の位置も整えました。歯がしっかりと咬み合うようになり、舌の位置や鼻の通りも良くなりました。気道も広がったことで、口呼吸が改善されました。
主訴・治療内容 でこぼこの歯で、将来の歯並びが心配と来院されましたが、呼吸法やお口の使い方が原因と、丁寧に説明させていただきました。
治療期間 2年半
費用 495,000円(税込)
リスク・副作用
  • 治療の初期段階では、痛みや不快感が生じやすくなりますが、一週間前後で慣れます。
  • 歯の動き方には個人差があるため、予想された治療期間より延長する場合があります。

まずは無料相談へお越しください!

有料級!内容大充実 子ども矯正個別無料相談 有料級!内容大充実 子ども矯正個別無料相談

当院では必ず院長または副院長が
無料相談をお受けします。

無料相談会で分かること

  • お子さまの歯並びが悪化している原因
  • おしむら歯科の矯正の特徴
  • 矯正治療の流れ・治療期間
  • 矯正治療にかかる費用

有料級の検査・診断・ご提案(※当院比)

  • CTでお口の状態を細かくチェック
  • 3Dスキャンでお口の正確なデータを取得
  • お子さまに近い症例に基づいた治療例の解説
  • お子さまに合わせた治療計画のご提案

当院では必ず院長または副院長が
無料相談をお受けします。

おしむら歯科では、お子さまが 矯正が楽しい!
続けたい!
と思えるよう、
様々な工夫をしています。

おしむら歯科では、「親や先⽣に⾔われたからやる」という義務感で矯正するのではなく、
お子さま自身が「楽しいからやる」と思えるように工夫しています。

最初はイヤイヤ始めたとしても、お子さまの気持ちを少しずつ変化させられるように、
イベントやポイント制度などを設け、楽しんで続けられる環境を用意しています。

「言われたからやる」から
「楽しいからやる」への
5STEP

※こども心理学に基づく

  • Step01|親や先生に言われる Step01|親や先生に言われる

    親や先⽣に
    ⾔われたから

    やる

  • Step02|やらなければいけないと思う Step02|やらなければいけないと思う

    やらなければ
    いけない
    からやる

  • Step03|大切なことだと思う Step03|大切なことだと思う

    大切なことだと思う
    からやる

  • Step04|やりたいと思う Step04|やりたいと思う

    やりたいと思う
    からやる

  • Step05|楽しいと思う Step05|楽しいと思う

    楽しいから
    やる

楽しく続けられるをご紹介!

当院では必ず院長または副院長が
無料相談をお受けします。

費用について 費用について

当院では現金、各種クレジットカード払いはもちろん、電子マネーやQRコードでのお支払いにも対応しています。
また、24回払いまで金利手数料無料のデンタルローンにも対応していますので、ぜひご活用ください。

※価格はすべて税込表示

矯正相談

0

精密検査

33,000

診断・治療方針策定

22,000

装置

330,000円 〜 660,000

使用できる支払い方法

  • 現金

  • 各種クレジットカード

    使用可能ブランド

    VISA/JCB/MasterCard/American Express/Diners Club

  • 電子マネー

    使用可能ブランド

  • QRコード決済

    使用可能ブランド

分割払いの対応も可能です! 分割払いの対応も可能です!

  • 支払い例 1

    40万円の装置/支払回数60回の場合|7,800円/月(税込) ※初回のみ11,084円 40万円の装置/支払回数60回の場合|7,800円/月(税込) ※初回のみ11,084円

  • 支払い例 2

    40万円の装置/支払回数24回の場合|18,300円/月(税込) ※初回のみ19,100円 40万円の装置/支払回数24回の場合|18,300円/月(税込) ※初回のみ19,100円

24回払いまで
金利手数料無料です

(当院が負担いたします)

※最大120回払いまで選択可能

デンタルローンは
こちらがおすすめです

公式Webサイトへ

家族割プラン 家族割プラン

当院では必ず院長または副院長が
無料相談をお受けします。

小児矯正のよくあるギモン
ゆき先生
解説します

気になる質問カードをクリック

気になる質問カードをタップ

歯並びの悪さは
親の遺伝が
原因なの?

「 口呼吸」と
「歯並び」
には、
どんな関係が
あるの?

治るのに
何年くらい
かかるの?

小児矯正は、
いつ始めるのが
効果的
なの?

歯の矯正って
痛いの?

おしむら歯科の矯正は
どうして後戻り
しにくいの?

マイオブレイス矯正は
一日何時間くらい
行うの?

なぜ
こどものうちに
悪循環を
断ち切る
のが
大切なの?

口呼吸は
どうしたら
わかるの?

どれくらいの
頻度
で通院すれば
いいの?

こどもが
沢山寝たのに、
朝から
疲れています…

なぜ舌の悪い癖を治す必要があるの?

おしむら歯科の
小児矯正の
方針を教えて

口呼吸と
鼻呼吸の違い

教えて

なぜおしむら歯科
では楽しい矯正を
重視
しているの?

院長のゆき先生

小児矯正に関するさらに詳しい情報は
公式SNSでも解説中!

Instagram

おしむら歯科

公式アカウント

@oshimura.dc

YouTube

当院では必ず院長または副院長が
無料相談をお受けします。

治療の流れ

Flow 01 Flow 01
矯正無料相談

矯正無料相談

治療詳細や流れなどより深く理解していただくために、無料相談は60分ほどを予定しています。必ずご予約の上お越しください。

Flow 02 Flow 02
検査の様子

口腔周囲筋の検査

歯並びの悪さに影響を及ぼす舌や口の周りの筋肉の使い方を調べます。

Flow 03 Flow 03
治療計画の説明風景

治療計画のご説明

検査結果に基づき、具体的な治療計画を立て、患者さまにご説明します。装置の使用方法、トレーニングの内容、治療の目安期間など、全体の流れや必要な期間について詳細にご説明します。

Flow 05 Flow 04
矯正器具

治療開始

実際に装着する器具を使い、治療を開始します。必要に応じてお子さまに合わせたオーダーメイドの器具を作ります。装置は毎日寝る時と1時間程度の装着が必要です。1〜2ヶ月に1度、30分〜1時間ほど通院していただきます。

Flow 05 Flow 05
トレーニング風景

トレーニング

通院時にお口のトレーニング方法を学び、自宅で毎日2~3分×2セットのトレーニングを行っていただきます。これにはご家族の協力が必要です。

Flow 06 Flow 06
診察室の様子

治療完了

一般的におよそ2〜3年で治療完了します。(歯の状態によっては4〜5年程度かかる場合もあります)その後13歳頃まで、または数年間は半年に1回程度、経過観察のために通院していただきます。

マイオブレイスメンバー

おしむら歯科・こども矯正歯科
クリニックは、
Myobraceマイオブレイス
認定クリニック
です

当院は名古屋市内で最初のMyobrace®️ Member認定クリニックとして症例実績も多く、
ご紹介などで遠方からの患者さまも多くいらっしゃいます。
お子さまの歯並びでお悩みの方はお気軽にご相談ください。

定期的に
オーストラリア、イギリスなどで
海外研修を受けています

Myobrace®️は、1989年オーストラリアでDr.ファレルとDr.フラッターによって開発されました。
歯並びが悪くなる原因に着目した小児矯正の治療方法です。
当院では、歯科医師及びスタッフが定期的にオーストラリアやイギリスに出向き、
Dr.ファレルとDr.フラッターから直接指導を受けています。
また小児矯正に携わるスタッフは、Myobrace®️の認定資格を得ています。

Message

おしむら歯科・こども矯正歯科クリニック院長|押村侑希 おしむら歯科・こども矯正歯科クリニック院長|押村侑希

院長からのメッセージ

こどものうちに
できることがあります

当院には、歯並びが良くない、噛み合わせが気になるといったお子さまが多く来院されます。
その中には、いびき・睡眠時無呼吸などの睡眠障害、顎が開きにくい・音が鳴るといった顎関節症、鼻閉による口呼吸で歯並びが悪化しているケースが多く見受けられます。歯並びの悪化は遺伝だけが原因ではないのです。

こうしたお子さまには、永久歯が綺麗に並ぶように上顎の骨を広げるアプローチを行います。
その結果、「鼻の通りが良くなった」「風邪を引かなくなった」「中耳炎を繰り返さなくなった」「寝汗が減り、ぐっすり眠れるようになった」「顎の痛みが消えた」など、歯並び以外の面でも喜びの声を多くいただきます。これは、鼻や気道の流れがスムーズになることで様々な症状が改善された結果です。

私自身、幼少期から痛みに耐えながら歯列矯正を3度繰り返し、後戻りやいびき、顎関節症に悩んできました。
その経験から、世界中で講演活動を行うイギリスの歯科医師ジョン・フラッター先生のもとで学びました。『小学生の時にこの矯正治療を受けていたら人生が違っていた』と実感したからです。
睡眠時無呼吸症候群を定義・命名したスタンフォード大学(アメリカ)のギルミノー教授も、「子どものうちに狭い顎を治し、歯並びを整えることで将来の睡眠時無呼吸症候群を予防できる」と提唱しています。

従来、矯正歯科治療は対症療法が主流でした。しかし、当院では不正咬合の原因に関わる治療を行えるようになりました。
土台となる顎の形から歯並びを整えることで、多くのお子さんが健やかな日常を送れるよう願っています。
続きを見る

医療法人 OSHIMURA MEDICAL 理事長押村侑希

略歴

1996
名古屋市立荒子小学校卒業
1999
南山中学女子部卒業
2001
南山高校女子部卒業
2007
愛知学院大学歯学部歯学科卒業
2017
日本成人矯正歯科学会
認定専門医コース修了(2年)
2018
Dr. John Flutter(ブリスベン開業)
診査診断コース修了
2019
おしむら歯科・こども矯正歯科
クリニック
院長就任
2020
愛知県歯科医師会食育推進委員
ユマニテク歯科衛生士専門学校非常勤講師
2023
愛知県歯科医師会調査室参与

まずは無料相談へお越しください!

有料級!内容大充実 子ども矯正個別無料相談 有料級!内容大充実 子ども矯正個別無料相談

当院では必ず院長または副院長が
無料相談をお受けします。

無料相談会で分かること

  • お子さまの歯並びが悪化している原因
  • おしむら歯科の矯正の特徴
  • 矯正治療の流れ・治療期間
  • 矯正治療にかかる費用

有料級の検査・診断・ご提案(※当院比)

  • CTでお口の状態を細かくチェック
  • 3Dスキャンでお口の正確なデータを取得
  • お子さまに近い症例に基づいた治療例の解説
  • お子さまに合わせた治療計画のご提案

当院では必ず院長または副院長が
無料相談をお受けします。

アクセス

〒454-0847 
愛知県名古屋市中川区細米町 1-7

Tel.052-363-3366

医院外観

公共交通機関でお越しの方

名古屋市営地下鉄

高畑駅から徒歩10分

名古屋臨海高速鉄道 あおなみ線

荒子駅から徒歩5分

荒子観音が目印です。

お車でお越しの方

駐車場

患者さま専用駐車場を、医院敷地内の第1駐車場に9台、150m先の第2駐車場に12台、合計21台ご用意しております。

第2駐車場のご案内

区画番号にお間違いがないかご確認ください。

当院の駐車スペース以外に停められますとご迷惑になります。くれぐれもご注意ください。満車の場合は近隣のコインパーキングの利用証明書をお持ちください。

駐車場内でのトラブルは責任を負いかねます。予めご了承ください。

最後までご覧いただき、ありがとうございます! 最後までご覧いただき、ありがとうございます!

おしむら歯科の小児矯正は、ただ装置をつけるだけではありません。
お口まわりの筋肉や呼吸、姿勢、生活習慣までをトータルに見つめながら、
お子さまの健やかな発育をサポートする矯正です。

「本当に続けられるのかな?」「うちの子にできるかな?」と不安に思われることもあるかもしれません。
でも大丈夫です。私たちは、お子さまが前向きな気持ちで取り組めるように、
楽しく、わかりやすく、お子さま一人ひとりの個性に合った関わり方を大切にしています。

矯正治療を通して、歯並びをきれいにするだけでなく
「コツコツがんばる力」「やり遂げた自信」も育っていくことを、
私たちはたくさんのお子さまたちから実感してきました。

そして何よりも、ご家族の協力があれば、お子さまはぐんと伸びていきます。

小児矯正は未来のお子さまへの、
かけがえのないプレゼント。
ぜひ一度ご相談ください。
お子さまにとって最善の方法を、
一緒に考えていきましょう。